
OBJECTIFS DE LA FORMATION
MASTERCLASS : Connaitre les standards actuels chirurgicaux et prothétiques des traitements des édentés totaux. Choisir entre émergence prothétique en gencive naturelle ou planifier et réaliser un traitement avec gencive artificielle. Connaître les indications et limites des traitements All On 4 et All On 6.
? OBJECTIFS PEGAGOGIQUES
Connaitre et comprendre les différentes situations cliniques et radiologiques au maxillaire. Connaitre et comprendre les différentes situations cliniques et radiologiques à la mandibule. Maitriser les techniques chirurgicales à appliquer selon les situations cliniques. Mettre en place et respecter les protocoles et procédures chirurgicales et prothétiques.
? COMPETENCES
Mettre en œuvre et en pratique les analyses des cas cliniques en intégrant la réhabilitation complète mandibulaire et/ou maxillaire par traitements implantaires. Pratiquer au quotidien les procédures chirurgicales et prothétiques enseignées dans le respect des indications cliniques.
? CONNAISSANCES SCIENTIFIQUES ACTUALISEES
Analyse de la littérature pour les traitements maxillaires ou mandibulaires avec mise en charge immédiate ou différée, détermination des nombres et positions des implants en fonction des paramètres esthétiques occlusaux et prothétiques.
? LES ENJEUX CHIRURGICAUX
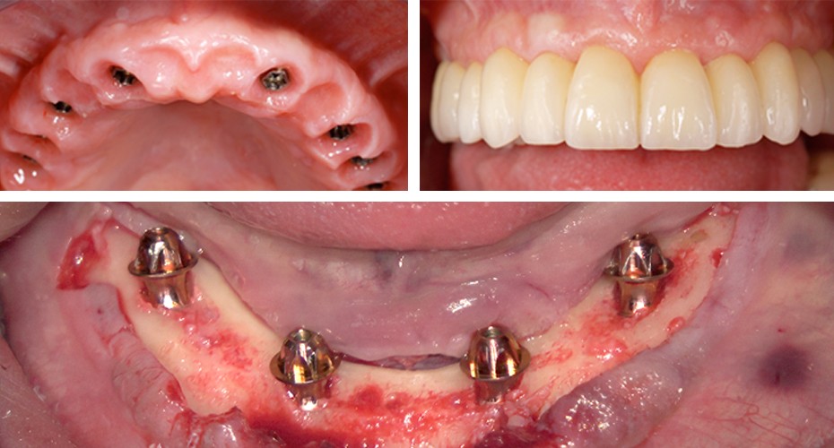
• Le choix du type de prothèse FP1, FP2 et FP3.
• La planification chirurgicale implantaire à visée prothétique.
• La mise en œuvre au bloc opératoire, le choix d’une intervention à 4 ou 6 mains selon l’organisation clinique.
• Les techniques chirurgicales osseuses et muqueuses et temps de cicatrisation, l’optimisation du matériel chirurgical et son utilisation.
• La réalisation de prothèse provisoire immédiate fixe ou amovible en fonction des cas cliniques.
• Le suivi post-opératoire des patients et la gestion des complications potentielles.
• Les échanges croisés entre la clinique et le laboratoire avec les différentes solutions prothétiques, matériaux et rendus esthétiques.
? LES CHIRURGIES EN DIRECT
3 interventions réalisées en direct. Interactions en live entre la clinique et la salle de formation (questions/réponses). Etudes des cas cliniques. Debrief et analyses.
PRE-REQUIS
? Praticiens en chirurgie implantaire avancée
PROGRAMME DE LA FORMATION
• Différentes possibilités thérapeutiques chez l’édenté total
• Mise en charge immédiate ou différée
• Techniques de projet prothétique analogique et digital
• Analyse et planification esthétique
• Critères décisionnels pour la réalisation de la gencive artificielle
• Stratégies chirurgicales, évolutions
• Spécificités de la chirurgie à la mandibule
• Spécificités de la chirurgie au maxillaire
• Planification du nombre d’implant
• Indication des AllOn4 AllOn6 AllOn8 à la mandibule et au maxillaire
• La chirurgie guidée
• Les méthodes de temporisation
• La temporisation immédiate
• Les méthodes à complément de rétention
• Principes de chirurgie avancée
• « Pas à pas » méthodologique prothétique
• Techniques d’empreinte classiques et numériques
• Matériaux des armatures : titane, zircone
MOYENS PEDAGOGIQUES
? Cours théoriques
? Projection Powerpoint par le formateur
? Présentation de cas cliniques
? Travaux pratiques dirigés
? Chirurgies en direct avec interaction bloc / salle de formation et questions en live.
? Livret pédagogique du cours fourni
? clé USB avec matériel chirurgical, bibliographie, vos attestations et documents personnels de prise en charge
? QCM d’évaluation des acquis en fin de formation
? Questionnaire à remplir par le stagiaire en fin de formation
? Questionnaire de suivi post-formation + 2 mois

3 CHIRURGIES EN DIRECT
Interactivité bloc/salle de cours
1 – Pose de 2 implants à la mandibule
2 – Extraction implantation et temporisation immédiate à la mandibule All on 4.
Mise en charge immédiate
3 – Implantation complète à visée esthétique au maxillaire